Когда начинать лечение?
Проводить коррекцию рекомендуется с пяти лет. В этом возрасте малышу уже можно объяснить, что от него хотят. Исправить прикус удастся и в старшем возрасте, но лучше всего закончить лечение до 14-15 лет. В более старшем возрасте коррекция потребует больше времени и усилий.
В любом случае следует показать ребенка ортодонту. На основе выраженности дефекта, индивидуальных особенностей челюстей, а также личных качеств ребенка (послушный или неуправляемый, настойчивый или нетерпеливый) врач подберет оптимальное время для начала лечения.
В зависимости от сложности патологии, пластичности костной ткани, возраста лечение может занимать от 6 месяцев до 4 лет.
Если у вашего малыша зубы искривлены, приводите его в нашу клинику. Наши стоматологи проведут тщательную диагностику и подберут оптимальный метод коррекции, учитывая индивидуальные особенности. При необходимости ортодонт направит ребенка на консультацию к логопеду или отоларингологу.
Чем опасно преждевременное выпадение молочных зубов?
Травма, кариес некоторые другие стоматологические заболевания могут стать причиной утраты молочного зуба. На месте зуба остается «просвет» в зубном ряду, который может стать причиной значительных нарушений формирования постоянного прикуса:
- краудинга или скученности зубов;
- дистопии зуба, когда он прорезывается вне зубного ряда;
- горизонтальных оверджетов или чрезмерного перекрытия нижних передних зубов верхними;
- овербайта или изменения расстояния между жевательными поверхностями противолежащих зубов в вертикальной плоскости.
На начальном этапе изменения могут быть незначительными. Однако с течением времени они начинают быстро прогрессировать.
Если молочный зуб утрачен раньше срока, то дефект зубного ряда, образовавшийся на его месте, целесообразно «закрыть» съемным протезом. Чаще все применяются так называемые иммедиат-протезы, которые в частной беседе врачи-стоматологи могут называть «прищепками».
Имеет значение не только факт утраты зуба, но и причина, по которой это произошло. Профилактика детского травматизма – дело хорошее, но не всегда на 100% результативное. А вот с кариесом в плане предотвращения и лечения намного проще. При своевременном обращении к врачу начальные изменения эмали можно устранить при помощи специальных гелей и лаков, а наметившиеся кариозные полости вычистить и запломбировать без применения бормашины.
Оставлять кариес без внимания не рекомендуется, так как это не просто черные точки на зубах. Это в первую очередь очаг размножения патогенных микроорганизмов, инфекции, токсическое действие которой на организм может привести к серьезным последствиям. Установлена достоверная связь кариеса с патологией почек, органов пищеварительной системы. Смена зубов не способна решить проблему кариеса у ребенка. Молочные и постоянные зубы в течение длительного времени «соседствуют» друг с другом, что повышает вероятность поражения постоянных зубов кариозным процессом.
Почему необходима реставрация
Некоторые родители считают, что лечить и восстанавливать молочные зубы не нужно, ведь они все равно скоро выпадут. Есть даже практика просто вырывать зубы вместо лечения кариеса или реставрации, даже если терапия еще возможна. К сожалению, подобные действия приводят к очень неприятным последствиям.
Самая серьезная проблема – аномалии прикуса. Если выдернуть зуб или оставить его сколотым или разрушенным, то соседние зубные единицы начнут сдвигаться и постепенно весь зубной ряд примет неправильное положение. Причем сдвинуться как молочные, так и растущие вслед за ними постоянные зубы.
Аномалии прикуса
Кроме того, при отсутствующем или сколотом зубе неправильно распределяется жевательная нагрузка. Эмаль начинает быстрее стираться, и зачастую высокая нагрузка приходится на постоянные единицы.
Есть еще одна причина, по которой рекомендуется проводить реставрацию молочных зубов у детей. В юном возрасте детям очень важна уверенность в себе. Они хотят производить на сверстников хорошее впечатление, а сколы в передней части зубного ряда сильно портят внешний вид улыбки. Даже если ребенка не будут дразнить, он может потерять уверенность в себе и приобрести серьезные психологические проблемы.
ВАЖНО: Шестые, седьмые и восьмые зубы вырастают сразу постоянными – у них нет молочных предшественников
Особенности проведения герметизации
Вопрос, как проходит герметизация фиссур, подразумевает тоже два ответа, поскольку выделяют инвазивный и неинвазивный методы.
В первом случае проводится расширение фиссур. Такой способ находит свое применение, если зубные полости труднодоступны или же сложной формы. Во втором случае никакого дополнительного вмешательства не требуется.
В процессе проведения процедуры используется два типа герметиков:
- прозрачные;
- непрозрачные.
В первом случае герметик позволяет заметить наличие кариеса в полости и своевременно провести лечение, однако его прозрачность не дает возможности провести оценку состояния герметика. В случае с непрозрачными составами ситуация обратно пропорциональна.
Симптомы и лечение задержек прорезывания
Среди причин ретенции (запоздалого прорезывания зубов) выделяют следующие:
- проблемы с кальциево-фосфорным обменом (например, рахит);
- малая активность желез внутренней секреции;
- недостаток питательных веществ или нарушения питания;
- наличие хронических инфекций;
- наследственные заболевания и индивидуальные особенности организма;
- несвоевременное удаление временных зубов, в результате чего соседние зубы (чаще клыки) растут не в ту сторону, заполняя свободное место;
- неправильное положение зуба в челюсти.
При ретенции зуб может развиваться лишь частично, либо расти внутри челюстной кости. Ретенция часто вызывает неврологические боли, воспаления и опухоли.
Ретенции зуба
В современной стоматологии существует несколько направлений лечения ретенции зуба:
- с применением аппаратурного метода. В этом случае врачи создают условия, которые стимулируют прорезывание. Для этого устанавливаются съёмные замещающие пластинки с искусственной десной, которые перекрывают альвеолярный отросток и «раздражают» зуб, чтобы он быстрее появился;
- с применением аппаратурно-хирургического метода, при котором врачи с помощью специальной аппаратуры перемещают ретенированный зуб в вертикальное положение и таким образом вытягивают его из десны;
- с применением комплексного метода, в котором задействованы и хирургические процедуры, и аппаратурное лечение, и физиотерапевтическая поддержка.
Среди способов лечения ретенции зубов также можно выделить установление специальных брекетов, использование ортодонтических винтов, колец, коронок и проч. В менее тяжёлых случаях достаточно назначения комплекса витаминов и кальция.
Нарушение прорезывания зубов
Общая информация
Прорезывание зубов у детей – важный этап роста младенческого организма, который начинается на 6-м месяце жизни. Правильно считать, что этот естественный процесс в нормальных условиях и при должном уходе за малышом должен протекать без каких-либо осложнений, заболеваний и неприятных последствий. Но это далеко не всегда так.
Прорезывание зубов у детей должно протекать без каких-либо осложнений
Очень часто прорезывание зубов у грудничков сопровождается болью, повышением температуры и даже некоторыми воспалительными процессами. Симптомы начинающихся проблем должны знать все родители, поскольку проигнорированное беспокойство ребёнка может привести к весьма неприятным последствиям и длительному медикаментозному лечению.
При первых признаках прорезывания ребёнка нужно брать под особое наблюдение, не бояться чаще открывать ему рот и осматривать состояние дёсен. А при первых же признаках осложнений или малейшем подозрении на них – немедленно обратиться к детскому стоматологу.
Актуальные акции стоматологий
50%
Предложение ограничено
Подробнее
Предложение ограничено
Подробнее
Предложение ограничено
Подробнее
Предложение ограничено
Подробнее
Предложение ограничено
Подробнее
Предложение ограничено
Подробнее
Предложение ограничено
Подробнее
Предложение ограничено
Подробнее
Предложение ограничено
Подробнее
7%
Предложение ограничено
Подробнее
Предложение ограничено
Подробнее
Предложение ограничено
Подробнее
Предложение ограничено
Подробнее
Предложение ограничено
Подробнее
Предложение ограничено
Подробнее
Предложение ограничено
Подробнее
Предложение ограничено
Подробнее
Предложение ограничено
Подробнее
30%
Предложение ограничено
Подробнее
Предложение ограничено
Подробнее
20%
Предложение ограничено
Подробнее
Предложение ограничено
Подробнее
Предложение ограничено
Подробнее
Предложение ограничено
Подробнее
Предложение ограничено
Подробнее
5%
Предложение ограничено
Подробнее
20%
Предложение ограничено
Подробнее
20%
Предложение ограничено
Подробнее
Предложение ограничено
Подробнее
Осталось: 3 недели
Подробнее
10%
Предложение ограничено
Подробнее
Предложение ограничено
Подробнее
Осталось: 3 недели
Подробнее
Когда нужно бить тревогу
В тех местах, где прорезаются зубы, выделяется много биологически активных веществ, например, гистамин, лейкотриены, простагландины и т.д. Они как раз и вызывают симптомы, с которыми знаком каждый родитель:
— Повышение температуры. В норме при прорезывании зубов температура должна быть субфебрильной, то есть не больше, чем 38 градусов;
— Отёк, боль и покраснение дёсен.
Есть нормальная реакция ребёнка на прорезывания зубов. Как правило малыш отказывается от еды, но при этом тянет игрушки в рот, чтобы их грызть. Из-за того, что ребёнок постоянно что-то грызёт, раздражаются нервы дёсен и выделяется много слюны, а поскольку ребёнок еще не умеет контролировать слюну, она вытекает изо рта. Так же ребёнок становится более возбудимым, чем обычно – меньше спит, постоянно капризничает, становится раздражительным.
Лайфхак: чтобы помочь ребёнку и облегчить боль в зубках, купите специальную игрушку-прорезыватель для зубов. Такую игрушку можно наполнить водой и положить в холодильник. Когда малыш будет её грызть, игрушка будет охлаждать воспалённые дёсна и тем самым частично снимать боль.
Но есть симптомы, которые родители часто путают с нормальной реакцией на появление зубов:
— Нарушение пищеварения – диарея, рвота, жидкий стул;
— Температура выше 38-39 градусов, которая не спадает несколько дней;
— Кашель, сыпь, отёки.
Эти симптомы говорят о том, что в организме ребёнка есть инфекция, которую нужно лечить.
Причины «плохих» зубов у детей
Проблемы с полостью рта и зубами возникают практически у каждого малыша. «Плохие» зубы у ребенка в 1-2 года — довольно-таки распространенное явление. Если родители обнаружили это, следует принять все возможные меры для исправления ситуации. Наиболее популярными и часто встречающимися проблемами являются:
- Потемнение зубов как полное, так и частичное.
- Зубы начинают крошиться.
- Кариес, и испорченные зубы как следствие.
Рассмотрим подробнее причины каждой этих проблем и пути их устранения. Ведь все они являются верными признаками того, что зубы у ребенка «плохие»
Необходимо уделить им повышенное внимание, ведь от этого зависит не только внешняя красота, но и здоровье всего организма. А основными причинами «плохих» зубов у детей могут быть следующие:
- Если организм усваивает кальций очень плохо или в недостаточных количествах.
- Наличие стойкого налета на зубах.
- Потемнение, передающееся по наследству.
- Хронические заболевания, такие как грибок ЖКТ или дисбактериоз.
- Избыток сахаросодержащих продуктов в рационе малыша.
- Метаболические нарушения в организме.
- Недостаточно сформированная эмаль.
- Злоупотребление железосодержащими препаратами.
Кариозные процессы также могут провоцировать появление потемнения. Если вовремя не заметить такие «плохие» молочные зубы у ребенка, то велика вероятность распространения заболевания «вглубь» челюсти. Все кариозные проявления необходимо залечивать. Обратитесь к врачу, чтобы решить проблему с кариесом, хрупкостью или крошением зубов.
Следует избегать ударов и травм, провоцирующих механические мелкие и крупные повреждения. Наличие трещин на эмали — это «ворота» для бактерий, вызывающих кариес.
Соблюдение необходимой гигиены также предупредит образование налета и развитие бактерий. Ведь, всем с детства известно о микробах как причинах плохих зубов у детей. Нужно чистить зубы 2 раза в день специально подобранными для определенного возраста средствами.
Родителям следует помнить, что естественной защитой здоровья ротовой полости каждого человека является зубная эмаль. Ее строение и степень крепости во многом определяет наследственный фактор
Однако и состав слюны имеет немаловажное значение. Его изменение зачастую провоцирует появление налета и, как следствие, появление «плохих» молочных зубов у ребенка.
Данная проблема, помимо регулярной систематической чистки, решается корректировкой питания. В меню следует включить белковые, способствующие укреплению эмали продукты, а также сезонные фрукты и овощи. В случае если сделать это не представляется возможным, необходимо подобрать соответствующим витаминный и минеральный комплекс.
Заботиться о качестве зубов будущего малыша необходимо начинать уже во время внутриутробного развития. Плохие зубы у ребенка в 1 год и старше часто бывают следствием неправильного питания матери во время беременности. Токсикоз также играет не последнюю роль в появлении проблем с эмалью. Кроме того, следует избегать приема препаратов — антибиотиков, особенно в первом триместре. После рождения малыша повысить качество будущих зубов помогает грудное вскармливание. Постарайтесь не приучать новорожденного к пустышке, которая в дальнейшем также может негативно сказаться на появлении молочных зубов.
Мнение специалистов
Серия средств АСЕПТА отличается доказанной клинически эффективностью. Результаты исследований зубных паст, салфеток, ополаскивателей, бальзамов и других средств АСЕПТА регулярно публикуются на нашем сайте. Действие выпускаемых средств проверяется в собственной лаборатории в научно-исследовательском центре ВЕРТЕКС. Вся продукция имеет сертификаты соответствия.
Активными компонентами салфеток являются:
- Ксилит. Очищает от налёта и предупреждает возникновение кариеса.
- Кальция пантотенат. Способствует формированию прочной зубной эмали
- Экстракты ромашки, гамамелиса и зеленого чая. Оказывают противовоспалительное действие, способствует снятию отечности и неприятных ощущений при прорезывании зубов.
Салфетки имеют:
- Сертификат соответствия №РОСС RU.АГ81.Н01070;
- Сертификат соответствия №РОСС KR.АГ81.H01815
- Свидетельство о государственной регистрации №RU.47.01.05.014.Е.000002.01.18.
Изучение клинической эффективности применения лечебно-профилактических средств серии «АСЕПТА» при лечении воспалительных заболеваний пародонта у детей и подростков (И.В. Климова)
Климова Ирина Владимировна, к.м.н., доцент кафедры стоматологии детского возраста Новосибирского государственного медицинского университета.
Кафедра стоматологии детского возраста Новосибирского государственного медицинского университета.Применение препаратов линейки «Асепта» в комплексном лечении воспалительных заболеваний пародонта (Н.В. Березина Е.Н. Силантьева С.М. Кривонос, Казанская государственная медицинская академия. Казань.)
Н.В. БЕРЕЗИНА, Е.Н. СИЛАНТЬЕВА, С.М. КРИВОНОС
Казанская государственная медицинская академияКлинический опыт применения серии средств «Асепта»
Фукс Елена Ивановна ассистент кафедры терапевтической и детской стоматологии
Государственное бюджетное образовательное учреждение высшего профессионального образования Рязанский государственный медицинский университет имени академика И.П. Павлова Министерства здравоохранения и социального развития Российской Федерации (ГБОУ ВПО РязГМУ Минздравсоцразвития России)
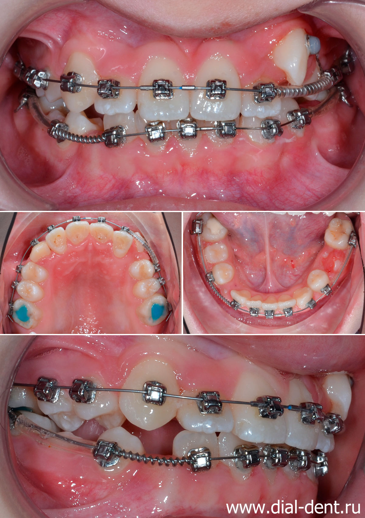
Стабильность результатов исправления прикуса
Для закрепления результатов исправления прикуса на нижние зубы установили несъемный проволочный ретейнер, а для верхних зубов изготовили ретенционную капу, которую надо надевать на ночь. После снятия брекетов, в период ношения ретенционной аппаратуры, необходимо посещать ортодонта раз в полгода.
Стабильность результата лечения напрямую зависит от устранения причин, вызвавших нарушение прикуса (устранения ЛОР проблем и коррекцию работы мышц языка, щек и губ). В данной ситуации пациент проживает в другом городе, поэтому родители приняли решение пройти лечение у миофункционального тераевта и ЛОРа по месту жительства и отказались от услуг специалистов клиники «Диал-Дент». Насколько серъезно подошли родители к выполнению рекомендаций ортодонта будет видно со временем. Пока не устранен мышечный дисбаланс только ретейнер помогает удержать зубы в новом положении.
Исправление прикуса выполнила ортодонт М.П. Слепцова, ассистент ортодонта С. Щелкова.
Другие примеры ортодонтического лечения от специалистов «Диал-Дент» смотрите .
Запись на консультацию по телефону +7-499-110-18-04 или через форму на сайте. Задать вопросы по исправлению прикуса можно главному врачу клиники Цукору Сергею Владимировичу в
Разновидности нарушений прорезывания зубов
Существуют определённые нормы появления зубов у ребёнка. Так, к возрасту одного года в среднем у ребёнка должно прорезаться порядка 8-10 зубов. Незначительные отклонения от этих показателей аномалией не считаются.
Нарушения прорезывания
Требующими лечения нарушениями прорезывания считаются следующие:
- преждевременное прорезывание (либо наличие зубов уже при рождении ребёнка);
- ретенция (задержка прорезывания зубов по различным причинам);
- адентия (полное отсутствие отдельных и в редких случаях всех зубов).
У каждого из этих отклонений есть свои причины, особенности и свои способы лечения. Стоит отметить, что чаще всего аномалии в прорезывании зубов связаны с болезнями, перенесёнными матерью во время беременности.
Раннее прорезывание
Ребенок может родиться уже с зубами, такие зубы называются неонатальными. Чаще всего они имеют нормальную структуру и форму, бывают подвижны. Их удалять не нужно. Прорезывание, как молочных, так и постоянных зубов раньше срока до 6 месяцев может говорить об акселерации развития ребенка. Причинами раннего прорезывания молочных зубов может быть генетическая предрасположенность, влияние окружающих факторов среды, а может быть и вариантом нормы. Раннему прорезыванию постоянных зубов может способствовать раннее удаление (1-1,5 года до прорезывания) молочных зубов, а так же некоторые эндокринные нарушения.
Позднее прорезывание
Обычно, небольшое отклонение от нормы не является причинами для беспокойства, скорее всего это генетическая особенность развития ребенка. Но, безусловно, есть и такие случаи, в которых запаздывание прорезывания — это симптом заболевания. Одной из причин задержки прорезывания зубов является рахит (вероятность возникновения рахита увеличивается при нахождении ребенка на искусственном вскармливании), а так же инфекционные заболевания. Порой прорезыванию зуба может мешать механический барьер в виде зачатка другого зуба, опухоли, структуры костной ткани. Что касается задержки прорезывания постоянных зубов, то здесь причинами могут служить местные факторы, такие как раннее удаление временных зубов (более2х лет до прорезывания), инфекционных очаги в молочных зубах (периодонтиты), а так же общие — эндокринные заболевания. Еще одной из причин задержки прорезывания может быть недоразвитие челюсти (нет места для зуба), тогда он может прорезаться в сторону преддверия, языка или неба. Так же возможны варианты неполного прорезывания, так называемая полуретенция — зуб прорезывается не до конца, и ретенции — когда сформированный зуб остается в костной ткани. Самый неблагоприятный вариант — когда зачаток или зачатки ожидаемых зубов отсутствуют вовсе (адентия). Это можно обнаружить только при проведении рентгенологического обследования.
Нарушение последовательности прорезывания
— наиболее серьезный признак отклонения от нормы развития, чем общая задержка или акселерация.
Какие нарушения могут ждать на этапе прорезывания постоянных зубов? Прорезывание седьмых зубов до четвертых и пятых на нижней челюсти. Рано прорезавшийся седьмой зуб уменьшит место, отведенное для пятого зуба, таким образом, частично заблокирует его прорезывание в зубную дугу. Если клыки на верхней челюсти прорезываются одновременно с четвертыми и пятыми, то места ему может не хватить, и он будет смещаться вестибулярно, хотя чаще такая патология возникает из-за общего недостатка места в зубном ряду. Так же возможно асимметричное прорезывание с обеих сторон зубной дуги. Обычно, когда это происходит, у пациента наблюдается недостаток места для прорезывания зубов или наличие механической преграды. Если с одной стороны зуб прорезался, а его противоположный аналог не появляется в течение 6 месяцев, то стоит сделать рентгеновский снимок для установления причины. Небольшие несоответствия между сторонами могут считаться нормальными, но крупные различия часто свидетельствуют об отклонениях.
Профилактические меры предупреждения детского кариеса
Всем давно известна инфекционная природа кариеса. Если причиной очень плохих зубов у ребенка является именно он, его необходимо устранять всеми возможными способами. Но любое заболевание гораздо легче предупредить, чем лечить, и кариес не является исключением из этого правила.
Профилактическая линия средств «Асепта» является верным помощником в решении данной задачи. Самым маленьким, для которых использование зубной щетки не подходит по причине возраста, подойдут салфетки-напальчники «Асепта». Они не только превосходно очищают всю ротовую полость, но и снижают болевые ощущения при прорезывании, даря спокойствие маме и малышу. Их удобно использовать после каждого кормления как дома, так и на прогулке.
Предупредить плохие зубы у ребенка постарше поможет детская зубная гель-паста от «Асепта Baby». Она нежно ухаживает за первыми зубками и снижает риск появления так называемого «бутылочного кариеса». Яркий и сочный фруктовый вкус наверняка понравится малышу, превратив приучение к гигиене в веселую и задорную игру.
А помочь в уходе за молочными зубками сможет паста «Асепта Kids», для деток от четырех лет и старше. Ее активные натуральные компоненты способствуют качественному уходу за молочными зубками. Кроме того, паста не содержит фтора, антисептиков и прочих разрушающих зубную эмаль веществ. Используйте средства данной линии, чтобы в дальнейшем не задаваться вопросом, почему у ребенка «плохие» зубы и что с этим делать. Заботьтесь о здоровье с помощью профессиональных средств!
Симптомы, по которым можно определить, что у малыша режутся первые зубы

Как правило, такое событие, как прорезывание зубов, не остается не замеченным родителями, так как сопровождается множеством симптомов, в том числе – болезненностью и сильным зудом десны в том месте, где режется зубик. Ребенок в связи с этим даже может отказываться от еды. Кроме того, может повыситься температура тела (но не более, чем 38° и не дольше, чем 3 дня), измениться стул (стать более жидким, но не до консистенции воды), усилиться слюноотделение, нарушиться сон. За 3 – 5 суток до появления зуба десна немного набухает и краснеет. После того, как зубик покажется на поверхности, все симптомы стихают.
Почему ребёнок так уязвим для болезней
Когда ребёнок что-то грызёт, на дёснах появляются микротравмы и трещинки. Cлизистая оболочка, как и другие ткани дёсен еще не сформированы, поэтому инфекции легко попадают в организм через эти травмочки. И поскольку в возрасте появления первых зубов – с 4 до 7 месяцев, пассивный иммунитет, полученный от мамы постепенно теряется, а собственный иммунитет только начинает вырабатываться, организм не может справиться с инфекцией.
Что делать, если у малыша посторонние симптомы?
Единственный верный вариант – обратиться к врачу педиатру. Врач осмотрит малыша и назначит анализы, чтобы выписать правильное лечение. А еще врач оценит, правильно ли прорезываются зубки, и даст полезные советы для вашего ребёнка.
Полезные ссылки по теме:
Признаки прорезывания зубов
Сильное слюноотделение, опухшие и покрасневшие десна. Эти симптомы могут появиться за месяц — два до появления самого зубика.
- Повышение температуры до 38-39С. Обычно она держится не более двух дней.
- Диарея. Возникает из-за повышенного слюноотделения, понос случается 2 — 3 раза в сутки в течение 1 — 2 дней.
- Насморк. Возникает из-за повышенного выделения слизи железами носовой полости. В нормальной ситуации слизь прозрачная и жидкая. Насморк длится до трех дней.
Если температура слишком высокая и держится дольше, признаки расстройства пищеварения не исчезают или слизь из носа приобрела неприятный оттенок — обратитесь к врачу.
Также важно отслеживать, чтобы зубки у малыша появлялись вовремя.
Ортодонтическое лечение
Сначала ребенок носил несъемный пластиночный аппарат, посещая ортодонта каждый месяц для осмотра и коррекции лечения (винт на пластинке родители поворачивают дома, следуя указаниям врача). На расширение верхней челюсти потребовалось около 6 месяцев.
Далее дождались прорезывания передней группы зубов и приступили к перемещению дальних жевательных молочных зубов, чтобы освободить место для постоянных. Еще полгода ребенок носил другой несъемный пластиночный аппарат. Посещение ортодонта также раз в месяц.
Создав достаточно места для прорезывания постоянных зубов ребенку дали год отдыха. За это время молочные жевательные зубы сменились постоянными.
Через год на зубах зафиксировали металлические брекеты Damon. Это самолигирующиеся брекеты, то есть брекет крепится к дуге при помощи специального замочка. Самолигирующиеся брекеты перемещаются по дуге с наименьшим трением, обеспечивая плавное и непрерывное перемещение зубов. Лечение самолигирующимися брекетами требует обычно меньше времени и более редких визитов к ортодонту.
Сначала брекеты установили на верхнюю челюсть. В брекет систему были включены пружины и специальные тяги, необходимые для постановки клыков в зубной ряд.
Через три месяца брекеты установили на нижнюю челюсть.

Раз в месяц ребенок посещал ортодонта для контроля лечения, замены или внесения дополнительных элементов брекет-системы. Срок лечения брекетами 1,5 года.
Патологии прорезывания
Что должно насторожить родителей при появлении молочных или постоянных элементов дентального ряда:
- запоздание прорезывания первых зубов на 2 – 3 месяца. Это может являться признаком отсутствия зачатков или генетическая предрасположенность;
- аномально ранние сроки. Вероятны сбои функционирования эндокринной системы;
- чрезмерно темный цвет эмали. Может быть следствием хронических заболеваний или повышенного содержания железа в крови;
- патологии прикуса или неправильный вектор роста зубов (поворот, наклон, смещение в сторону). Данные признаки свидетельствуют о деформациях зубочелюстной системы.
В каком возрасте формируется постоянный прикус

Постоянные элементы дентального ряда начинают появляться еще до того, как выпадут временные. Первыми (примерно в 6 лет) показываются «шестерки» (первые моляры). В 8 прорезываются резцы, в 9 – 10 – клыки и премоляры, затем вторые премоляры и коренные. Ну а зубы мудрости (они же «восьмерки») – после 20 лет, и не у всех. Принцип парности появления зубов сохраняется и при формировании постоянного прикуса. При этом сначала вырастают моляры на нижней челюсти, потом – на верхней. Далее сменяются элементы нижнего зубного ряда, потом верхнего. Наиболее верный признак скорейшего появления постоянного зуба – выпадение временного.
Основные заболевания молочных зубов
Кариес и пульпит – это заболевания, чаще всего встречающиеся в детской стоматологической практике. Детские зубы имеют слабоминерализованную эмаль, особенно в период после прорезывания. Это значит, что они уязвимы для микроорганизмов, которые вызывают кариес, во много раз больше, чем зубы взрослых.
Пульпит молочных зубов
У многих детей кариес возникает в самом раннем возрасте, поражая молочные зубы. Кариес молочных зубов часто обнаруживается у двух-трехлетних детей, но иногда он может возникать и у ребенка младше 2 лет.
Обычно родители не видят разницы между кариесом молочных и постоянных зубов. Тем не менее, разница есть. В детском организме любые физиологические и биологические процессы протекают довольно быстро, а значит, и кариес молочных зубов развивается гораздо быстрее, чем кариес постоянных зубов. Ситуация осложняется тем, что эмаль молочных зубов тоньше и имеет другое строение. Основная проблема, связанная с лечением кариеса молочных зубов, вызвана тем, что ребенок активно мешает детскому стоматологу полноценно провести обследование и процедуру лечения.
Симптоматика острого пульпита у ребенка
Данная форма пульпита у детей в раннем возрасте может протекать незаметно, при этом зубная боль слаба или полностью отсутствует. Частичный пульпит специалисты диагностируют у маленьких детей крайне редко, так как через 2 часа после появления воспаления оно перетекает в общее. У детей старшего возраста частичное пульпарное воспаление характеризуется кратковременными приступами боли, которые чередуются с периодами длительной ремиссии.
Диффузный пульпит у малышей нередко сопровождается воспалительным процессом тканей периодонта. Данная форма выявляется врачами по следующим признакам:
- Болезненность и утолщение надкостницы
- Болезненности в процессе постукивания пораженного зуба
- Отечность десны
- Болезненность и увеличение лимфатических узлов
- Лихорадочное состояние, высокая температура тела, нарушение аппетита и сна







